Advertisement intended for health care professionals

l

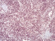
Ruptured spleen due to infectious mononucleosis - 1.

Ruptured spleen due to infectious mononucleosis - 1.
#00004201
Author: Serhan Alkan
Category: Reactive Marrow > Reactive changes
Published Date: 03/01/2010

This a spleen removed from a 26-year-old patient presented with high fever and spontaneous rupture of spleen. Mono Spot test was found to be positive. There is marked expansion of the red pulp due to a lymphoid proliferation. Normal white pulp is noticeable in the left lower and left upper part of the slide.


Advertisement intended for health care professionals