Advertisement intended for health care professionals

l

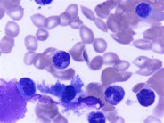
Falciparum malarial parasite in bone marrow aspirate - 1.

Falciparum malarial parasite in bone marrow aspirate - 1.
#00004224
Author: Nafila Sabeeh; Abbas Hashim;
Category: Red Cell: Hemolytic Anemia (HA) > Acquired non-immune HAs > Infection-related hemolysis
Published Date: 03/01/2010

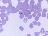
Bone marrow aspirate smear showing crescentic gametocyte.


Advertisement intended for health care professionals