Advertisement intended for health care professionals

l

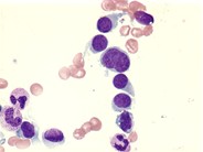
Hairy cells - 1.

Hairy cells - 1.
#00004234
Author: Peter Maslak
Category: Lymphoma: Mature B-cell and Plasma cell Neoplasms > Splenic lymphomas > Hairy Cell Leukemia
Published Date: 03/01/2010

The classic appearance of the hairy cell has elongated cytoplasmic projections distributed around the circumference of the cell.


Advertisement intended for health care professionals