Advertisement intended for health care professionals

l

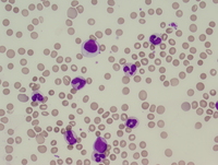
Atypical chronic myeloid leukemia, BCR-ABL1 negative 3

Atypical chronic myeloid leukemia, BCR-ABL1 negative 3
#00060167
Author: Elizabeth L. Courville, MD
Category: Myeloid Neoplasms and acute leukemia (WHO 2016) > Myelodysplastic/myeloproliferative neoplasms (MDS/MPN) > Atypical Chronic Myeloid Leukemia (aCML), BCR-ABL1 negative
Published Date: 10/03/2015

The aspirate smears show a myeloid predominance with dysgranulopoiesis. Monocytes and basophils are not increased.

Megakaryocytes are decreased in number on the aspirate smears but appear normally lobated.


Advertisement intended for health care professionals