Advertisement intended for health care professionals

l

Refractory cytopenias with unilineage dysplasia 3

Refractory cytopenias with unilineage dysplasia 3
#00060176
Author: Elizabeth L. Courville, MD
Category: Myeloid Neoplasms and acute leukemia (WHO 2016) > Myelodysplastic Syndromes (MDS) > MDS with single lineage dysplasia
Published Date: 10/03/2015

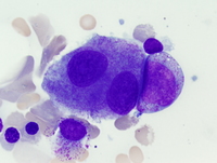
Marrow aspirate smear showing maturing neutrophil precursors lacking significant dysplasia.  Blasts comprised <5% on aspirate differential count.


Advertisement intended for health care professionals