Advertisement intended for health care professionals

l

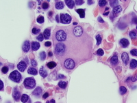
Refractory anemia with excess blasts -1 (RAEB-1) 1

Refractory anemia with excess blasts -1 (RAEB-1) 1
#00060180
Author: Elizabeth L. Courville, MD
Category: Myeloid Neoplasms and acute leukemia (WHO 2016) > Myelodysplastic Syndromes (MDS) > MDS with excess blasts
Published Date: 10/03/2015

The peripheral blood shows a marked anemia, moderate thrombocytopenia, and a moderate leukopenia with dysplastic neutrophils and 4% circulating blasts.  There are also circulating nucleated red blood cells.


Advertisement intended for health care professionals