Advertisement intended for health care professionals

l

Acute myeloid leukemia with myelodysplasia-related changes 2

Acute myeloid leukemia with myelodysplasia-related changes 2
#00060196
Author: Elizabeth L. Courville, MD
Category: Myeloid Neoplasms and acute leukemia (WHO 2016) > Myelodysplastic Syndromes (MDS) > MDS with excess blasts
Published Date: 10/03/2015

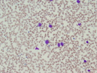
7 months after the diagnosis of refractory anemia with excess blasts-2, peripheral blood from the same patient showed leukopenia with 26% circulating blasts. The patient was diagnosed with acute myeloid leukemia with myelodysplasia-related changes (AML-MRC).


Advertisement intended for health care professionals