Advertisement intended for health care professionals

l

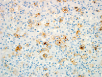
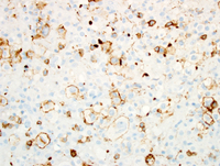
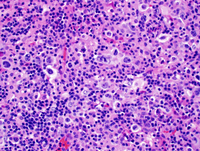
SLL with Richter's Syndrome (Hodgkin lymphoma type) 5

SLL with Richter's Syndrome (Hodgkin lymphoma type) 5
#00060386
Author: Joo Y. Song, MD
Category: Lymphoma: Mature B-cell and Plasma cell Neoplasms > Low-grade B-cell lymphoma > Chronic Lymphocytic Leukemia/Small Lymphocytic Lymphoma
Published Date: 02/09/2016

Small lymphocytic lymphoma with Richter's Syndrome, Hodgkin type.  

H&E showing the small lymphocytes in the background of large atypical cells consistent with Hodgkin cells.


Advertisement intended for health care professionals