Advertisement intended for health care professionals

l

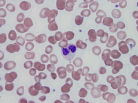
Refractory cytopenia of childhood, GATA2 deficiency related Peripheral blood

Refractory cytopenia of childhood, GATA2 deficiency related Peripheral blood
#00060449
Author: Katherine Calvo, MD, PhD
Category: Myeloid Neoplasms and acute leukemia (WHO 2016) > Myelodysplastic Syndromes (MDS) > Refractory cytopenia of childhood (provisional)
Published Date: 02/21/2016

15 y/o male with pancytopenia, severe monocytopenia, B-lymphopenia and NK-lymphopenia.

History of disseminated MAC and warts.   The bone marrow shows a hypocellular

marrow for age with atypical megakaryocytes and no increase in blasts. Cytogenetic analysis of the marrow showed an abnormal karyotype involving  monosomy 7 (45,XY,-7[2]/46,XY[18]).  DNA sequencing revealed a germline mutation in GATA2. Diagnosis:  Refractory cytopenia of childhood, GATA2 deficiency related.

Peripheral blood with hypogranular pelgeroid neutrophil

Advertisement intended for health care professionals