Advertisement intended for health care professionals

l

NPM1-mutated IHC staining pattern

NPM1-mutated IHC staining pattern
#00060767
Author: Girish Venkataraman, MD, MBBS
Category: Myeloid Neoplasms and acute leukemia (WHO 2016) > Acute Myeloid Leukemia > Acute Myeloid Leukemia with recurrent genetic abnormalities > AML with mutated NPM1
Published Date: 06/27/2016

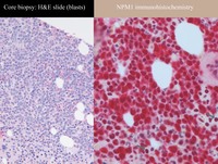
Case of acute myeloid leukemia depicting sheets of blasts with monocytic differentiation on the H&E slide to the left. NPM1 immunohistiochemistry shows aberrant nuclear and cytoplasmic localization of staining in the tumors. Background normal cells without mutation (marked with arrows) show isolated nuclear staining without any cytoplasmic localization.

Advertisement intended for health care professionals