Advertisement intended for health care professionals

l

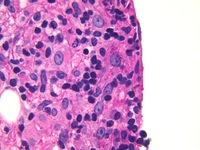
Disseminated histoplasmosis with bone marrow infiltration and secondary HLH 2

Disseminated histoplasmosis with bone marrow infiltration and secondary HLH 2
#00061447
Author: Carolyn Carrera, MD; Christopher Wenzinger, MD
Category: Infectious Disease > Fungi > Histoplasmosis  
Published Date: 05/17/2018

71 year-old man with hereditary hemochromatosis (heterozygous for H63D mutation in HFE gene) who presented for fever of unknown origin. Evaluation revealed disseminated histoplasmosis and clinical criteria was met for hemophagocytic lymphohistiocytosis (HLH). Bone marrow biopsy revealed infiltration with histoplasmosis and evidence of hemophagocytosis. No underlying cause of immunodeficiency including HIV was identified. He was treated initially with IV amphotericin and transitioned to posaconazole. Clinical syndrome of HLH resolved with treatment of histiocytosis.


Advertisement intended for health care professionals