Advertisement intended for health care professionals

l

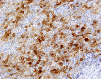
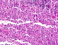
Indeterminate dendritic cell tumor-CD1a

Indeterminate dendritic cell tumor-CD1a
#00061850
Author: Elizabeth Morgan, MD; Kyle T. Wright, MD
Category: Macrophage/Histiocytic and dendritic cell Neoplasms and disorders (2015) > L group > Indeterminate cell histiocytosis
Published Date: 09/05/2018

See reference case of Indeterminate dendritic cell tumor for details.

Advertisement intended for health care professionals