Advertisement intended for health care professionals

l

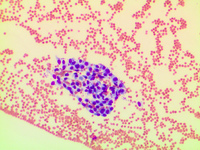
Endothelial cells 1

Endothelial cells 1
#00062071
Author: Hany Deirawan, MD; Ali Gabali, MD, PhD
Category: Laboratory Hematology > Basic cell morphology
Published Date: 11/19/2018

A custer of cohesive endothelial cells is seen on peripheral smear in a sheath like conformation. The cells have abundant homogenous cytoplasm and eccentric round nuclei with condensed chromatin. Adhesion of many platelets to these cells is seen. There is no features of atypia or reactivity. 


Advertisement intended for health care professionals