Advertisement intended for health care professionals

l

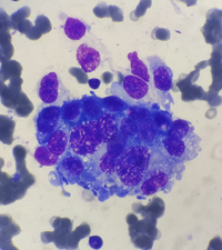
Hypocellular bone marrow with metastatic cells 3

Hypocellular bone marrow with metastatic cells 3
#00062076
Author: Najmaldin Saki (Ph.D.); Alireza Ordo (B.Sc.); Seyed Mohammad Sadegh Pezeshki (M.Sc.); Ali Ehsanpour (M.D.)
Category: Other Metastatic Neoplasm
Published Date: 11/19/2018

as you can see, metastatic cells are present in hypocellular bone marrow. 


Advertisement intended for health care professionals