Advertisement intended for health care professionals

l

Breast Cancer Metastasis 4

Breast Cancer Metastasis 4
#00062217
Author: Nidia P. Zapata, MD; Calos Olvera; Pitalua Cortez Quetzali; Ramiro Espinoza
Category: Other Metastatic Neoplasm
Published Date: 02/22/2019

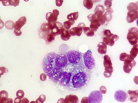
Wright stain of the bone marrow aspirate with clusters of cells of breast cancer in the bone marrow


Advertisement intended for health care professionals