Advertisement intended for health care professionals

l

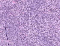
Reactive dermatopathic changes

Reactive dermatopathic changes
#00062222
Author: Benjamin Kaumeyer, MD; Girish Venkataraman, MD
Category: Lymph Node and Spleen: Reactive/infectious > Reactive nodal processes
Published Date: 02/22/2019

Shown is a groin lymph node with dermatopathic changes. Note the increased number of paracortical histiocytes and langerhan cells seen on the right side of the image. These changes can be seen in lymph nodes draining chronically irritated skin.

Advertisement intended for health care professionals