Advertisement intended for health care professionals

l

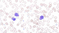
Peripheral blood smear, 2019, lymphoid cells with nuclear budding

Peripheral blood smear, 2019, lymphoid cells with nuclear budding
#00062388
Author: Fazilet Yilmaz, MD; John Reagan, MD; Diana Olguta Treaba, MD
Category: Lymphoma: Mature B-cell and Plasma cell Neoplasms > Low-grade B-cell lymphoma > Monoclonal B-cell lymphocytosis
Published Date: 07/01/2019

Lymphoid cells with nuclear budding, nuclear bridges and formation of adjacent micronuclei


Advertisement intended for health care professionals