Advertisement intended for health care professionals

l

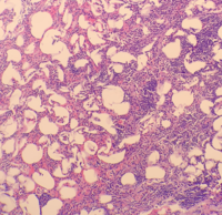
Adrenal Myelolipoma 2

Adrenal Myelolipoma 2
#00062728
Author: Kishankumar Patel, MD; David Sukhai, MD; Santosh Kagathur, MD; Ogenetega, Madedor
Category: Myeloid Neoplasms and acute leukemia (WHO 2016)
Published Date: 09/16/2019

A 61-year-old female presented with abdominal pain, nausea, and vomiting. A CT scan with contrast was remarkable for a 12.5 x 8.0 x 8.5 cm right adrenal mass for which she subsequently underwent a right adrenalectomy. Histopathology of the tumor demonstrated encapsulated, well-circumscribed, proliferated adipose tissue with mixed hemopoietic elements consistent with myelolipoma weighing 190 grams.


Advertisement intended for health care professionals