Advertisement intended for health care professionals

l

Unusual case of a myelodysplastic syndrome with novel inv(5)(q15q33)

Unusual case of a myelodysplastic syndrome with novel inv(5)(q15q33)
#00062763
Author: Ryan J. Golden; Agata M. Bogusz
Category: Myeloid Neoplasms and acute leukemia (WHO 2016) > Myelodysplastic Syndromes (MDS) > Myelodysplastic syndrome with isolated del(5q)
Published Date: 09/16/2019

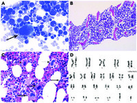
A 29-year-old man without significant medical history was evaluated for fatigue and persistent mild thrombocytopenia spanning >5 years. His complete blood count revealed hemoglobin of 14.3 g/dL, mean corpuscular volume of 88 fL, white blood cell count of 4.2 × 10 9/L, and platelet count of 81 × 10 9/L. The bone marrow aspirate smear revealed megakaryocytic dysplasia with small hypolobated megakaryocytes (panel A arrow; Wright-Giemsa stain, original magnification ×1000). The core biopsy demonstrated normocellular bone marrow with trilineage hematopoiesis (panel B; hematoxylin and eosin [H&E] stain, original magnification ×25) and megakaryocytic hyperplasia and dysplasia with frequent small hypolobated megakaryocytes (panel C arrows; H&E stain, original magnification ×400). Conventional cytogenetic studies of the marrow aspirate demonstrated 46,XY,inv(5)(q15q33)[17]/46,XY[4] (panel D arrow). Fluorescence in situ hybridization studies were negative for PDGFRB rearrangement (5q32 locus). Whole-exome sequencing identified only a variant of uncertain significance in EPAS1. The patient is being observed, with quarterly monitoring of platelet counts that remain decreased (∼100 × 10 9/L), but he is not currently undergoing any treatment.The atypical megakaryocytes seen here are reminiscent of the World Health Organization–classified entity myelodysplastic syndrome (MDS) with isolated del(5q), characterized by anemia, interstitial deletion of chromosome 5q, and small hypolobated megakaryocytes. The findings are suggestive of MDS with a previously unreported cytogenetic rearrangement, inv(5)(q15q33). MDS is rare in patients age <40 years, and ongoing evaluation is planned to monitor this patient’s clinical course.

Advertisement intended for health care professionals