Advertisement intended for health care professionals

l

T-Acute Lymphoblastic Leukemia with Plasmacytosis 4

T-Acute Lymphoblastic Leukemia with Plasmacytosis 4
#00062919
Author: Ankur Ahuja; Tathagata Chatterjee; Gunjan Madhukar; S Venkatesan; Y Uday; Rajan Kapoor
Category: Myeloid Neoplasms and acute leukemia (WHO 2016) > Precursor Lymphoid Neoplasms > T-lymphoblastic leukemia/lymphoma
Published Date: 02/12/2020

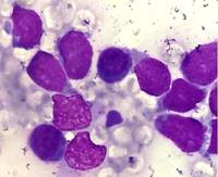
A 65 years old male who presented with generalised weakness and fatiguability for past 3 months with no organomegaly, lymphadenopathy and presented with bicytopenia with hemoglobin of 5.3 g/dl, platelet counts of 27,000/cumm, Total WBC count of 4500/cumm. His bone marrow revealed 36% blasts of all total nucleated cells and 23% plasma cells. The blasts were MPO, NSE negative while showed positivity for Acid Phosphatase and granular positivity for PAS. On Flow cytometry the blasts were bright CD 45 positive showing positivity for cCD3, CD 5, TdT, CD 33. On Immunohistochemistry there were increased immature cells which showed psotitvity for Tdt. There were aggregates of CD 38 positive cells which were CD 56, CD 117 negative and showed no clonality. On Serum protein elctrophorsis there was Polyclonal hypergammaglobulinemia with no M-band.

I


Advertisement intended for health care professionals