Advertisement intended for health care professionals

l

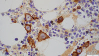
E-cadherin IHC stain

E-cadherin IHC stain
#00063034
Author: Deniz Peker, MD
Category: Underproduction Anemias > Acquired aplastic anemia > Viruses (ALSO LINK TO INFECTIOUS DISEASE SECTION) > Parvovirus
Published Date: 05/29/2020

E-cadherin immunohistochemistry stain highlights red cell precursors infected by Parvovirus


Advertisement intended for health care professionals