Advertisement intended for health care professionals

l

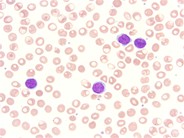
Sezary syndrome-Peripheral blood smear

Sezary syndrome-Peripheral blood smear
#00063145
Author: Manisha Goel, MD, MBBS; Girish Venkataraman, MD, MBBS
Category: Lymphoma: Mature T and NK cell lymphoproliferations > Mature T-cell Leukemias > Sezary Syndrome
Published Date: 08/06/2020

See reference case on Sezary syndrome for further details.

Advertisement intended for health care professionals