Advertisement intended for health care professionals

l

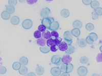
Cytoplasmic inclusions in CLL lymphocytes (Toluidine blue)

Cytoplasmic inclusions in CLL lymphocytes (Toluidine blue)
#00063358
Author: Nomusa Mashigo; Keshanya Moodley; Robert Kingsley Lohlun
Category: Lymphoma: Mature B-cell and Plasma cell Neoplasms > Low-grade B-cell lymphoma > Chronic Lymphocytic Leukemia/Small Lymphocytic Lymphoma
Published Date: 02/02/2021

As with the other cytochemical stains, the toluidine blue stain was negative in the cytoplasmic inclusions.

Advertisement intended for health care professionals