Advertisement intended for health care professionals

l

Monomorphic Epitheliotropic Intestinal T-cell Lymphoma

Monomorphic Epitheliotropic Intestinal T-cell Lymphoma
#00063399
Author: Purva Vijay Sharma; Bahaaeldin Youssef; Koyamangalath Krishnan
Category: Lymphoma: Mature T and NK cell lymphoproliferations > Mature T-cell Lymphomas > Gastro-intestinal T-cell lymphomas > Monomorphic Epitheliotropic Intestinal T-cell lymphoma (MEITL; WHO 2017)
Published Date: 01/22/2021

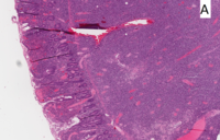
H & E stain reveals intestinal mucosa at low magnification that is diffusely infiltrated by lymphocytes showing epitheliotropism (A), surface epithelial ulceration with deeper tumor extension to adipose tissue (B). Higher magnification reveals abundant surface intra-epithelial lymphocytosis [arrow] (C) with subepithelial atypical monomorphic, medium-sized lymphocytes with hyperchromatic nuclei, prominent nucleoli, irregular nuclear membranes and abundant mitotic figures (D). Immunohistochemically, the tumor cells were positive for CD3, CD7, CD8, BCL-2, CD56 (D)

Advertisement intended for health care professionals