Advertisement intended for health care professionals

l

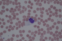
Neoplastic mast cells in bone marrow aspirate (Wright-Giemsa stain)

Neoplastic mast cells in bone marrow aspirate (Wright-Giemsa stain)
#00063531
Author: Koyamangalath Krishnan MD; Purva Sharma MD: Patrick Costello MD
Category: Myeloid Neoplasms and acute leukemia (WHO 2016) > Mastocytosis
Published Date: 05/03/2021

Cluster of neoplastic mast cells in bone marrow aspirate by Wright-Giemsa staining. 


Advertisement intended for health care professionals