Advertisement intended for health care professionals

l

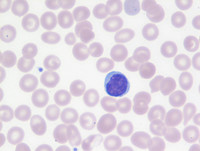
Beta-thalassemia intermedia

Beta-thalassemia intermedia
#00063576
Author: Jacob Kjelland, MD
Category: Red Cell: Hemoglobin disorder > Quantitative disorders (thalassemias) > Beta-thalassemia
Published Date: 06/25/2021

Peripheral smear from a patient with hemoglobin of 8.5 g/dL, Hb electrophoresis with HbA 41%, HbA2 5% and HbF 54%.  Smear shows schistocytes, microspherocytes, marked anisoctytosis, dacrocytes, polychromasia, nucleated RBCs along with target cells.  The patient was diagnosed with B-thalassemia intermedia.

Advertisement intended for health care professionals