Advertisement intended for health care professionals

l

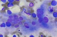
Osteoclast

Osteoclast
#00063586
Author: Perla Vicari, MD, PhD
Category: Reactive Marrow > normal Hematopoietic cells – covered in atlas (additional examples can go here) > Osteoclasts  
Published Date: 06/28/2021

Bone Marrow Aspirate showing osteoclast (May-Grünwald-Giemsa stain). Osteoclasts are multinucleated (2 to 12 separate nuclei) giant cells involved in bone resorption.

Advertisement intended for health care professionals