Advertisement intended for health care professionals

l

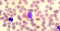
Basophil

Basophil
#00063611
Author: Perla Vicari, MD, PhD
Category: Laboratory Hematology > Basic cell morphology > Morphologic variants of white blood cells > Normal basophil  
Published Date: 08/12/2021

Peripheral blood smear showing basophil with irregular nucleus and purplish-black cytoplasmic granules (May-Grünwald-Giemsa stain).

Advertisement intended for health care professionals