Advertisement intended for health care professionals

l

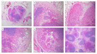
Vascular transformation of lymph node sinuses

Vascular transformation of lymph node sinuses
#00063755
Author: Raquel Yokoda, MD; Yanhua Wang, MD
Category: Lymph Node and Spleen: Reactive/infectious
Published Date: 10/19/2021

A 78-years-old female with recurrent right breast cancer, and prior history of right lumpectomy followed by radiation eight years before and ultimately underwent total mastectomy. The final diagnosis was a poorly differentiated invasive ductal carcinoma, with metastatic disease to 8 out of 24 axillary lymph nodes; the largest positive node measuring 3 cm. Few lymph nodes demonstrated vascular transformation of the lymph node sinuses (VTS). The vasoproliferative process caused expansion of the subcapsular, intermediate and medullary sinuses in a diffuse fashion (a 2x). The complex network of anastomosing blood vessels of variable sizes had underlying fibrosis (b,c 10x). Stromal sclerosis observed underlying anostomosing narrow vascular clefts with sparse areas of plexiform pattern (d 10x). Vascular channels with round or oval contour lined by flat or plump endothelium, with empty or amorphous content and some red blood (d 10x) cells to markedly engorged with blood (e 10x). Solid areas observed with spindle or plump cells interpersed with collagen fibers (f 4x). There is no nuclear atypia or capsular involvement. Immunohistochemistry negative for HHV8 (not shown). These findings are consistent with vascular transformation of lymph node sinuses, a rare reactive proliferative process exclusively in the sinuses. It has been associated with lymphovenous congestion, upper limb edema in hemodialysis and congestive heart failure and initially described as “stasis lymphadenopathy". In this case some perinodal vessels were thickened and engorged (e, black arrow), but no definitive thrombosis was found. Although VTS consists of a benign vascular hyperplasia, it has been described as an incidental finding in a number of malignant conditions; interestingly, some cases had not showed impediment to vascular or lymphatic drainage. Through morphologic and histochemistry evaluation is necessary to avoid angiosarcoma misdiagnosis.​

Advertisement intended for health care professionals