Advertisement intended for health care professionals

l

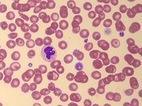
EDTA-dependent pseudothrombocytopenia

EDTA-dependent pseudothrombocytopenia
#00063961
Author: Isil Erdogan Özünal, MD; Emrah Kılıçaslan; Tayfun Elibol; Erman Öztürk
Category: Hemostasis and coagulation > Bleeding disorders > Platelet abnormalities > Thrombocytopenia > Artifactual thrombocytopenia > Pseudothrombocytopenia 
Published Date: 03/22/2022

Due to EDTA (ethylenediaminetetraacetic acid, an anticoagulant widely used for complete blood count analysis) in vitro platelet aggregation results in false low platelet counts in automatic blood count analyzers. Note no thrombocytes seen in figure A, but in figure B, notably, large thrombocyte aggregates stand at the edge of the same slide. May-Grünwald Giemsa stain, 100x magnification.

Advertisement intended for health care professionals