Advertisement intended for health care professionals

l

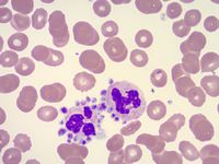
Photomicrographs from a Peripheral Blood Smear

Photomicrographs from a Peripheral Blood Smear
#00064153
Author: Gabriel Lerner
Category: Hemostasis and coagulation > Bleeding disorders > Platelet abnormalities > Thrombocytopenia > Artifactual thrombocytopenia > Platelet satellitism
Published Date: 09/17/2022

Photomicrographs from a peripheral blood smear displaying prominent platelet satellitism (Wright-Giemsa stain, 1000x).

Advertisement intended for health care professionals