Advertisement intended for health care professionals

l

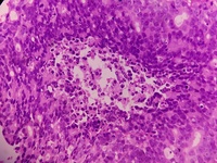
Bone marrow biopsy -High power view of the atypical cells arranges in glands

Bone marrow biopsy -High power view of the atypical cells arranges in glands
#00064235
Author: Dr. Pradeep Arumugam, MD,DNB
Category: Laboratory Hematology > Non-hematopoietic malignancies involving the blood or bone marrow > Metastatic Carcinoma
Published Date: 11/28/2022

Bone marrow biopsy -High power view of the atypical cells arranged in glands / acini


Advertisement intended for health care professionals