Advertisement intended for health care professionals

l

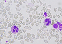
neutrophils with botryoid nuclei

neutrophils with botryoid nuclei
#00064315
Author: Sandeep Rao; Athira Sivadas; Kashish Dagli; Sachin Suresh Jadhav
Category: Laboratory Hematology > Basic cell morphology > Morphologic variants of white blood cells
Published Date: 01/09/2023

Neutrophils showing botryoid nuclei


Advertisement intended for health care professionals