Advertisement intended for health care professionals

l

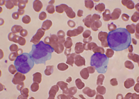
promyelocytes

promyelocytes
#00064505
Author: Najmaldin Saki, PhD; Zeinab Eftekhar M.Sc
Category: Laboratory Hematology > Basic cell morphology > Morphologic variants of white blood cells > Promyelocyte
Published Date: 09/21/2023

promyelocytes are granulocytes precursor, measure 12-20 microns in diameter. The nucleus of a promyelocyte is approximately the same size as a myeloblast but their cytoplasm is much more abundant.They also have less prominent nucleoli than myeloblasts and their chromatin is more coarse and clumped.The cytoplasm is basophilic and contains primary red/purple granules.

Advertisement intended for health care professionals