Advertisement intended for health care professionals

l

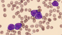
Hypergranular promyelocytes

Hypergranular promyelocytes
#00064708
Author: Luiz Arthur Leite, PhD
Category: Laboratory Hematology
Published Date: 09/10/2025

Acute promyelocytic leukemia with PML::RARA


Advertisement intended for health care professionals