Advertisement intended for health care professionals

l

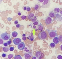
Leishmania amastigotes in the bone marrow 1

Leishmania amastigotes in the bone marrow 1
#00064730
Author: Rodrigo Brêtas Emerich Nogueira, MD; Diego Luz Felipe da Silva, MD; Felipe Melo Nogueira, MD; Gracia Aparecida Martinez, MD, PhD
Category: Infectious Disease > Parasites > Leishmania
Published Date: 10/11/2023

Bone marrow aspirate depicting amastigotes of Leishmania with visible kinetoplasts, as well as reactive plasmacytosis.


Advertisement intended for health care professionals