Advertisement intended for health care professionals

l

Parvovirus B19 infection 1

Parvovirus B19 infection 1
#00064741
Author: Habib Moshref Razavi
Category: Bone marrow failure > Acquired Bone marrow failure > Parvovirus B19 infection
Published Date: 10/12/2023

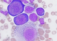
Bone marrow aspirate stained with May-Grunwald-Geimsa x100 magnification showing many so called "lantern cells" in a case of Parvovirus B19 infection is seen. 


Advertisement intended for health care professionals