Advertisement intended for health care professionals

l

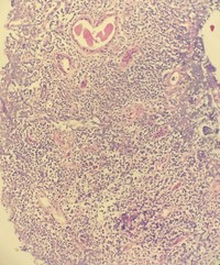
Renal biopsy involved by follicular lymphoma, low-power

Renal biopsy involved by follicular lymphoma, low-power
#00064993
Author: Megan Smith, MD,MPH
Category: Lymphoma: Mature B-cell and Plasma cell Neoplasms > Low-grade B-cell lymphoma > Follicular Lymphoma
Published Date: 07/31/2024

Light microscopy, H&E: minimal intact renal parenchyma demonstrating tubular injury with interstitial lymphoid process


Advertisement intended for health care professionals