Advertisement intended for health care professionals

l

An Anticonvulsant (Levipil) induced Drug Reaction with Eosinophilia and Systemic Symptoms (DRESS)

An Anticonvulsant (Levipil) induced Drug Reaction with Eosinophilia and Systemic Symptoms (DRESS)
#00065068
Author: DR AKANKSHA FOKMARE; DR RUPALI PARIKH; DR PARESH MARATHE; DR SIDDESH GUPTA; BOMBAY HOSPITAL; MUMBAI; INDIA.
Category: Reactive Marrow > Reactive changes > Reactive eosinophilia
Published Date: 06/10/2024

Drug reaction with eosinophilia and systemic symptoms (DRESS) syndrome, also known as drug-induced hypersensitivity syndrome, is a unique and potentially life-threatening adverse reaction. This condition typically manifests in both children and adults as a morbilliform rash accompanied by fever, lymphadenopathy, blood abnormalities, and involvement of multiple organs. Anticonvulsants and antibiotics are the most frequent culprits. Unlike other drug reactions, DRESS has a delayed onset, appearing 2 to 6 weeks after exposure, and lasts longer. It can affect multiple systems, including hematologic, hepatic, renal, pulmonary, cardiac, neurologic, gastrointestinal, and endocrine systems.[1]

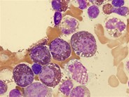
A 26-year-old female with pulmonary TB on antitubercular therapy was admitted with symptoms of eye-rolling, disorientation, and leg stiffness. She was initially treated with intravenous levipil, later switched to oral levipil, and kept under observation. A few days later, she developed fever, nausea, vomiting, and a maculopapular rash that started on her hand and spread across her body[FigA and B]. She also experienced swelling on her left cheek; ultrasonography revealed normal-sized reactive left intraparotid lymph nodes. Her CBC showed a significantly raised total leukocyte count of 49,700/cmm.The peripheral smear showed15% eosinophils ( Absolute Eosinophil Count of 7455×10^3/µl, indicating severe eosinophilia)[Fig C marked with red arrow]and  reactive lymphocytes.[Fig C marked with green arrow] All medications were discontinued, leading to a subsidence of the rash and symptomatic improvement.

The patient likely developed DRESS syndrome due to levipil, evidenced by severe eosinophilia, systemic symptoms including lymphadenopathy, and improvement upon stopping the medication.

Refrence

1.Bessmertny O, Hatton RC, Gonzalez-Peralta RP. Antiepileptic hypersensitivity syndrome in children. Ann Pharmacother. 2001 May;35(5):533-8. doi: 10.1345/aph.10284. PMID: 11346057.

Advertisement intended for health care professionals