Advertisement intended for health care professionals

l

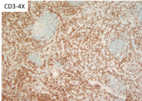
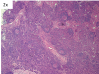
TAFRO- Vascular proliferation

TAFRO- Vascular proliferation
#00065093
Author: Hannah Cutshall, MD; Daisy Alapat, MD
Category: Lymph Node and Spleen: Reactive/infectious
Published Date: 07/18/2024

This image displays vascular proliferation with plump endothelial cells. 


Advertisement intended for health care professionals