Advertisement intended for health care professionals

l

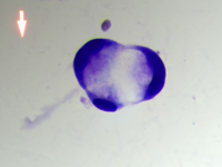
Metastatic carcinoma with signet ring differentiation 5

Metastatic carcinoma with signet ring differentiation 5
#00065154
Author: Alfatih Khadir,HMG Takhassusi hospital
Category: Laboratory Hematology > Body fluids:  abnormal cells and microorganisms with cross-references to specific diagnoses when appropriate > Metastatic tumor cells in body fluids  
Published Date: 07/18/2024

60 years old female with abdominal discomfort , abdominal distension and weight loss. Ascitic fluid was taken for cytology examination and after thorough investigations patient diagnosed as a case of Cancer of Unknown Primary (CUP).


Advertisement intended for health care professionals