Advertisement intended for health care professionals

l

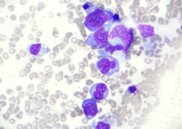
EBV-related Lymphoproliferative Disorder in Bone Marrow, Figure 1A

EBV-related Lymphoproliferative Disorder in Bone Marrow, Figure 1A
#00065646
Author: Fatima Farhan, MBBS; Shariq Shaikh, FCPS
Category: Lymph Node and Spleen: Reactive/infectious > Infectious processes > EBV-related reactive lymphoid proliferations
Published Date: 10/14/2025

A 14-year-old male presented with persistent fever, weight loss, generalized weakness, and a history of multiple blood transfusions. Abdominal ultrasound showed hepatosplenomegaly. Initial blood work revealed bicytopenia with hemoglobin of 7.7 g/dL, WBC count 6.26 × 10⁹/L,  absolute neutrophil count of 1.79 × 10⁹/L, platelet count of 17 × 10⁹/L. The peripheral blood film demonstrated anisopoikilocytosis, microcytic hypochromic red cells, nucleated RBCs, polychromasia, and reactive lymphocytes, with markedly reduced platelets.

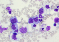
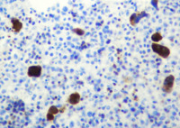
A bone marrow aspirate was hypocellular and revealed approximately 21% large atypical mononuclear cells with abundant greyish-blue cytoplasm, irregular nuclear contours, fine chromatin, and prominent nucleoli (Figure 1A and 1B). The trephine biopsy showed 65–70% cellularity with a lymphohistiocytic background and interstitial infiltration by similar atypical cells (Figure 2). 

Immunohistochemical analysis showed EBV positivity in the large atypical cells. These cells were CD30 positive (scattered), with increased CD68 expression. Myeloid elements were MPO-positive. The atypical cells were negative for CD34, TdT, CD117, ALK, and CD79. Background lymphoid cells stained positive for PAX5 and CD3, and erythroid precursors were E-cadherin positive.

The marrow findings raise concern for an EBV-associated lymphoproliferative disorder, particularly in the setting of constitutional symptoms and cytopenias. A lymph node biopsy was recommended for further classification. This case highlights the diagnostic complexity of EBV-driven marrow infiltration in a pediatric patient and the importance of integrating histopathology, immunophenotyping, and viral studies to distinguish reactive from neoplastic processes.

Advertisement intended for health care professionals