Advertisement intended for health care professionals

l

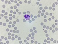
Neutrophil hyper-segmentation 1

Neutrophil hyper-segmentation 1
#00065650
Author: Seyed Mohammad Sadegh Pezeshki (Ph.D.)
Category: Laboratory Hematology > Basic cell morphology > Morphologic variants of white blood cells > Hypersegmented neutrophil
Published Date: 05/29/2025

Hypersegmented neutrophils in a patient with recent infection.


Advertisement intended for health care professionals