Advertisement intended for health care professionals

l

AML with inv(16)/CBFB::MYH11 Mimicking T/Myeloid MPAL by EGIL Criteria 1

AML with inv(16)/CBFB::MYH11 Mimicking T/Myeloid MPAL by EGIL Criteria 1
#00065764
Author: Shenhao Liu; Haiping Dai; Shengli Xue; Qian Wang; Lan Dai
Category: Myeloid Neoplasms and acute leukemia (WHO 2016) > Acute Myeloid Leukemia > Acute Myeloid Leukemia with recurrent genetic abnormalities > AML with inv(16)(p13.1q22) or t(16;16)(p13.1;q22); CBFB-MYH11
Published Date: 10/20/2025

A 58-year-old man presented with intermittent moderate-grade fever. Complete blood count revealed pancytopenia with a white blood cell count of 0.98×10⁹/L, neutrophils 0.29×10⁹/L, hemoglobin 64 g/L, and platelets 47×10⁹/L. Peripheral blood smear showed 9.7% blasts. He had a prior history of gastrointestinal stromal tumor, which remained in remission following surgical resection and adjuvant imatinib therapy.

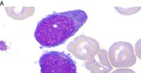
Bone marrow aspirate demonstrated 56% blasts, characterized by a lack of granules and round nuclei. Myeloperoxidase (MPO) staining was positive in 31% of blasts (Figure A, B). Flow cytometry showed expression of myeloid markers (CD13, CD33, CD117, and MPO) along with aberrant expression of T-lymphoid markers, including CD2, cytoplasmic CD3 (cCD3), and CD7 (Figure C, D). Conventional karyotyping revealed inv(16)(p13q22) in all metaphases analyzed (Figure E), and multiplex RT-PCR confirmed the CBFB::MYH11 fusion transcript. Next-generation sequencing identified pathogenic variants in KRAS (p.Gly13Asp) and ATM (p.Glu2200fs).

Under the European Group for the Immunological Classification of Leukemias (EGIL) criteria, the co-expression pattern would support a diagnosis of T/myeloid mixed phenotype acute leukemia (MPAL) (EGIL score: T-lineage 3.5; myeloid 4.5). However, according to the 5th edition of the WHO classification of hematolymphoid tumors, definitive assignment to the T-lineage requires a level of CD3 expression in the blasts exceeding 50% of that seen on normal mature T cells in the same sample. In this case, the cCD3 expression intensity in blasts was well below 50% of that in normal mature T cells (Figure D) - and thus insufficient for T-lineage assignment.

Based on the presence of inv(16)(p13q22)/CBFB::MYH11, the diagnosis was therefore established as acute myeloid leukemia (AML) with defining genetic abnormalities, per WHO criteria. The patient achieved complete remission after induction therapy with venetoclax and azacitidine, followed by four cycles of high-dose cytarabine consolidation. CBFB::MYH11 transcript became undetectable post-consolidation. The patient has remained in complete molecular remission on azacitidine maintenance therapy.

This case highlights the diagnostic complexity of AML with aberrant T-lineage antigen expression. Although EGIL scoring supported a diagnosis of MPAL, the WHO classification - which integrates antigen intensity and comparative analysis with normal lymphocytes - provided a more stringent framework that prevented misclassification. This case underscores the importance of applying modern diagnostic criteria in mixed phenotype leukemias.

Advertisement intended for health care professionals