Advertisement intended for health care professionals

l

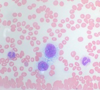
Peripheral Blood Smear (Wright-Giemsa 60X)

Peripheral Blood Smear (Wright-Giemsa 60X)
#00065810
Author: Adaugo N. Nwanguma, MD, MPH; Ibrahim Razu, MD; Hans-Magne Hamnvag, MD; Ammoura Ibrahim, MD; James Cotelingam, MD
Category: Laboratory Hematology > Non-hematopoietic malignancies involving the blood or bone marrow
Published Date: 10/28/2025

Photomicrograph of peripheral blood showing two circulating tumor cells and adjacent neutrophils and red cells.

 Extensive tumor infiltrate in marrow space with virtually no hematopoietic tissue.


Advertisement intended for health care professionals