Advertisement intended for health care professionals

l

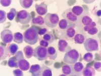
Sheet of Plasma Cells 2

Sheet of Plasma Cells 2
#00065903
Author: Saeid Rezaei Jouzdani, MD
Category: Lymphoma: Mature B-cell and Plasma cell Neoplasms
Published Date: 10/14/2025

Sheet of plasma cells 

Advertisement intended for health care professionals