Advertisement intended for health care professionals

l

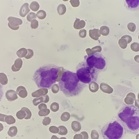
Faggot cell

Faggot cell
#00065918
Author: Fateme Khojaste, BSc; Mitra Meshkani, BSc; Amin Solouki, PhD
Category: Myeloid Neoplasms and acute leukemia (WHO 2016) > Acute Myeloid Leukemia > Acute Myeloid Leukemia with recurrent genetic abnormalities > AML with t(15;17)(q22;q12); PML-RARA (and variants)
Published Date: 10/23/2025

This image shows a faggot cell, a malignant promyelocyte containing multiple bundles of Auer rods visible as red, needle-like inclusions in the cytoplasm. These cells are characteristic of acute promyelocytic leukemia (AML-M3) and reflect abnormal accumulation of primary granules due to disrupted differentiation of myeloid precursors. Recognition of faggot cells is important for the prompt diagnosis of APL, which requires immediate treatment with all-trans retinoic acid (ATRA) to prevent life-threatening coagulopathy and DIC. This image was taken from a patient suffering from APL in the hematology lab at Varastegan Institute for Medical Sciences.

Advertisement intended for health care professionals