Advertisement intended for health care professionals

l

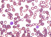
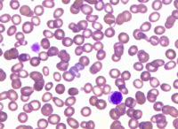
Giant platelets in Bernard-Soulier syndrome 1

Giant platelets in Bernard-Soulier syndrome 1
#00066211
Author: Alfatih Khadir Abdelgader,Takhassusi hospital,HMG; Mohammed A Alsadaan,Takhassusi hospital,HMG.; Ahmed D Almustafa ,Takhassusi hospital,HMG; Dahfer Bashen , Takhassusi hospital,HMG; Amani Alshehri , Takhassusi hospital,HMG; Amnah M Mashnafi, Takhassusi hospital,HMG; Alfatih Abdelgader
Category: Hemostasis and coagulation > Bleeding disorders > Platelet abnormalities > Inherited disorders of platelet function
Published Date: 02/26/2026

Giant platelets in Bernard-Soulier syndrome


Advertisement intended for health care professionals