Advertisement intended for health care professionals

l

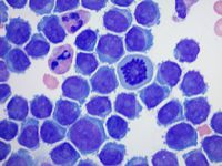
Myeloma in CSF low power

Myeloma in CSF low power
#00066231
Author: Antonio Lira Diaz; Sharmila Ghosh
Category: Lymphoma: Mature B-cell and Plasma cell Neoplasms > Plasma Cell Neoplasm > Plasma cell myeloma
Published Date: 02/26/2026

Figure 1 (10x). Cytospin preparation showing marked hypercellularity with extensive infiltration by plasma cells.


Advertisement intended for health care professionals