Advertisement intended for health care professionals

l

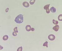
Cabot ring

Cabot ring
#00066303
Author: Sumitha Baskaran; Madhura Jogwar; Metropolis healthcare limited
Category: Laboratory Hematology > Basic cell morphology > Red cell inclusions and abnormalities > Cabot ring
Published Date: 03/20/2026

Peripheral blood smear (Leishman stain, ×1000 oil immersion) showing a red blood cell containing a Cabot ring, appearing as a thin, ring-shaped/thread-like basophilic inclusion within the cytoplasm. Surrounding erythrocytes exhibit anisopoikilocytosis. Cabot rings represent remnants of mitotic spindle or nuclear membrane material and are typically observed in conditions associated with dyserythropoiesis such as megaloblastic anemia and severe anemia.

Advertisement intended for health care professionals